Images
+4

Jan 20, 2026
•
60 min read
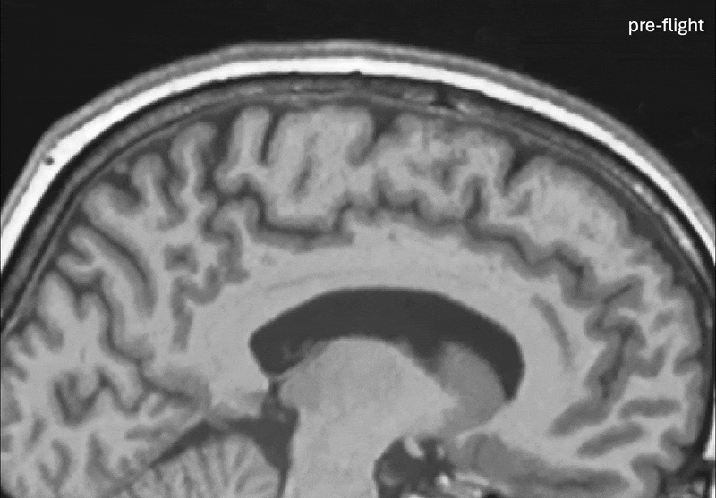
Astronauts’ Brains Move and Rotate During Extended Spaceflight and Apparently Viruses and Bacteria Evolve Differently in Space.The Week in Space: Artemis II Readies for Crewed Lunar Mission, China Submits ITU Filings for 193,000 Satellites, NASA Plans to Deploy A Lunar Nuclear Reactor by 2030 and US War Department Invests $1B in L3Harris. ESA and China Resume High‐Level Space Talks in Paris After Nearly a Decade, Plus: York Space Prepares for an IPO, Slingshot Wins Space Force Contract, Luxembourg’s Hydrosat, India's Aule, Japan's Interstellar Technologies, SkyFi and Think Orbital Raise Funding, Parsons Acquires Altamira, and More.

Images
+5

Jan 12, 2026
•
45 min read
RNA May Have Assembled Under Ancient Prebiotic Earth Conditions Without Enzymes Or Cells. The Week In Space: US Lawmakers Have Approved A $24.4 Billion NASA Budget For FY 2026, Rejecting Trump Administration’s Proposed Science Cuts. Cave Training For Chinese Astronauts, The Fastest-Spinning Asteroid, Starless Dark-Matter, And NASA Preps Early Astronaut Return From ISS Due To Medical Emergency. Plus: FCC Has Approved 7,500 More Starlink Satellites, SecWar Hegseth On His "Arsenal Of Freedom" Tour, India’s Unsuccessful PSLV Launch, SkyFi’s On-Demand Access To Vantor’s Imagery And More.

Images
+5

Jan 5, 2026
•
46 min read
US Scientific Capacity May Take a Hit as Trump Admin Moves to Break-Up NCAR for "Climate Alarmism." The Week in Space: More Space Debris Incidents, ESA Hit by a Cyberattack, Iran, UAE Launch Satellites on a Russian Rideshare, Chinese Launch Updates, and Space Force's Vandenberg Expansion Plans for Heavy-Lift Vehicles. Plus: First-Ever Furnace Ignited in Space at 1000°C and Free‐Floating Exoplanet Detected and Measured.

Images
+4

Dec 29, 2025
•
37 min read
Russia Just Patented a Rotating Artificial‐Gravity Space Station. The Week in Space: Orbital Data-Centers Are Coming to a Night Sky Near You. Plus: Heat Leakage from the Largest US Crypto‐Mining Center, NASA’s Hunt for Critical Minerals from 60,000 Feet, Chinese Reusable Rocket's Failed Booster Recovery, ISRO Launches AST SpaceMobile's Heaviest Satellite, South Korean Innospace's Launch Anomaly and more.

Images
+4

Dec 23, 2025
•
49 min read
Trump Signs Executive Order on American Space Superiority as NASA Safety Panel Urges Reassessment of Artemis Plans. This Week in Space News: Wildfire Smoke Is Altering Earth’s Climate in Unexpected Ways, Webb’s Latest Findings Include a Lemon‐Shaped Exoplanet, and a Black Hole Moving at 3.54 Million Km/H. Plus: Jared Isaacman Becomes NASA’s New Administrator, a Starlink Satellite Is Hurtling Toward Earth, Chinese, European and Japanese Launch Updates, a Flat‐Satellite Design Demo, a Reconfigurable‐Expandable Habitat Concept, the First Wheelchair User to Reach Space, and More.

Images
+4

Dec 18, 2025
•
47 min read
SpaceX Plans 2026 IPO, Eyes $1.5 Trillion Valuation And World’s First Satellite Collision Insurance Emerges. This Week in Space News: Scientists Map Large River Drainage Systems on Mars, Radio Bursts From Space Debris Collisions and Astronomers Observe Black Hole Dragging the Fabric of Spacetime. Plus: Lots of Orbital Demos Upcoming, Canada, Germany, NATO Defense Postures in Space, Bacteria‐Dyed Radiation‐Sensitive Fabric for Spacesuits, and More.

Images
+6

Dec 8, 2025
•
55 min read
Menstrual Cups Successfully Tested in Spaceflight. This Week in Space News: Clocks on Mars Run Faster Than on Earth, ISS Hosts Eight Spacecraft, Microbes Could Transform Martian Soil for 3D‐Printed Habitats, Sugars and Polymers Found on Bennu, and Solar Insights Unearthed from Ancient Chinese Texts. Plus: Russian Cosmonaut Removed from SpaceX Flight, Missile Defense Agency Awards Contracts to Over 1,000 Companies, and Hypersonics, GEO Satellites, Nuclear Microreactors Draw Major Space and Defense Investment.

Images
+5

Dec 1, 2025
•
62 min read
Now Germany Wants to Militarize Space, to "Limit the Use of Space by Adversaries." This Week in Space News: We May Have Finally Spotted Dark Matter, New Insight on What Space Weather Does to Our Protective Shield. Plus: US-China Space-Race Heats Up with the RACE Act And Regulatory Changes in China, ESA Approves Massive Funding, US to Prototype Space-Based Interceptors, Amazon's Starlink Competition and Much More.

Images
+4

Nov 25, 2025
•
50 min read
So the Starship Lunar Mission is Delayed to 2028, According to a Leaked SpaceX Document. This Week in Space News: Images from Across the Galaxy, Euclid Maps 1.2 Million Galaxies, German Test Satellite Uses AI to Reorient Itself, Shenzhou-22 Ready for Stranded Tiangong Crew, EU Draft Space Law Draws US Criticism, Europe Lagging in Space Data Center Strategy, and the Chinese Threat to US Security and Global Influence. Plus: Funding for Starlab, Ursa Major and Quindar, and More.

Images
+5

Nov 17, 2025
•
59 min read
Massive Coronal Mass Ejections from the Sun, Triggered Geomagnetic Turbulence, Auroras and Disruption in the Space Industry. This Week in Space News — The Fall of Icarus, Scars from a Martian Ice Age, Volcanic Plumes, Food from Thin Air in Spaceflight, Soft‐Robotic Exosuits, and Planets Generating Their Own Water. Also: Amazon’s Project Kuiper Rebrand, China’s Launch Record, Orbital Manufacturing, Dream Chaser Updates, and More.

Images
+4

Nov 10, 2025
•
38 min read
Global Wildfires are Intensifying Due to Human-Driven Climate Change. This Week in Space News: Vantor Releases Satellite Imagery for Hurricane Melissa Relief, China Tests Inflatable Orbital Module, Webb Telescope's AI Fix, and Shenzhou-20 Hit by Space Debris. Also: More Organic Molecules Detected Beyond the Milky Way. UK’s Space Strategy Under Scrutiny, ISRO Launches Military Satellite, Astranis and ICEYE Announce Updates, ESA Commits €1 Billion to Militarize its Space Infrastructure, U.S. Conducts Unarmed Nuclear Missile Test, Intuitive Machine Acquires Lanteris and More.

Images
+5

Nov 2, 2025
•
36 min read
Earth is on the Brink as Pace of Climate Change Outstrips Mitigation Efforts. This Week in Space News: Behold the Eye of Melissa and the Red Spider Nebula. First 3D Exoplanet Atmosphere Map, 3I/ATLAS Updates and the End of Human Activity at Venus. Plus: SpaceX and Cards Against Humanity Settle Trespassing Lawsuit, and More.

© 2026 Lagrangian, LLC. All rights reserved..